About

Our Clinic

Vaughan's Home for Complete and Comprehensive Dental Care

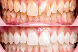
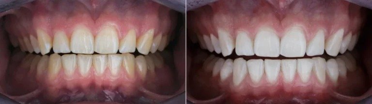
My City Dental is equipped with state-of-the-art facilities and a team of experienced dental professionals. We offer a comprehensive range of services, including preventive care, cosmetic procedures, restorative treatments, pediatric dentistry, orthodontics, and periodontics. Our clinic is designed to provide a relaxing atmosphere, ensuring that each visit is a positive experience.

Our Vision

We envision being the leading dental clinic in Vaughan, recognized for our compassionate care, advanced treatments, and a team of professionals who prioritize the well-being of every patient.

Our Mission

Our mission is to deliver personalized, high-quality dental services that promote optimal oral health and enhance the smiles of our patients. We are committed to building lasting relationships based on trust and satisfaction.

Comprehensive Care

We offer a wide range of dental services under one roof, making it convenient for patients to receive all necessary treatments.

Patient-Centered Approach

Your comfort and satisfaction are our top priorities. We take the time to listen to your concerns and tailor our treatments accordingly.

Advanced Technology

We utilize the latest dental technologies and adhere to strict sterilization protocols to ensure safe and effective treatments.

Flexible Hours

Understanding the busy schedules of our patients, we offer flexible appointment times to accommodate your needs.

MEET THE DENTISTS

Dr. Katayoun Esfahanizadeh | Family & Cosmetic Dentist in Vaughan
General Dentist
Dr. Seola (Sally) Ji
General Dentist
Dr. Svitlana Ivanova

Dental Surgeon

Dr. Reddy
General Dentist
Dr Kim
General Dentist
Dr. Alain Nourkeyhani

General Dentist

MEET THE HYGIENISTS

Dental Hygienist

Samantha

RDH

Dental Hygienist

Gabriella

RDH

Dental Hygienist

Preet

RDH

Dental Hygienist

Sarah Byrne

General and Cosmetic Dentist (DDS)

MEET THE TEAM

Jacqueline

Dental Assistant

Join the My City Dental Family Today!

Ready to begin your journey to a healthier smile? Schedule your appointment with My City Dental today. Book
online on our website or call. We look forward to welcoming you!

Accepting the new Canadian Dental Care Plan

Accepting the new CDCP